Heute möchte ich mich gerne mit dem Thema “Geriatrie bei der Katze” auseinandersetzen. Nicht nur die Menschen, sondern auch die Katzen kommen heute in den Genuss eines längeren Lebens. Lag die durchschnittliche Lebenserwartung bei Katzen noch vor wenigen Jahren bei 12–14 Jahren, so werden heute viele Tiere durchaus 16–18 Jahre alt. Ob Verbesserungen in der Fütterung oder in der Medizin dafür verantwortlich sind, mag ich an dieser Stelle nicht diskutieren. Ich möchte gerne auf eine Vielzahl von Krankheiten hinweisen die gerade beim alten Katzenpatienten auftreten. Viele Beschwerden schiebt man auf das “Alter” obwohl es in Wirklichkeit nur Krankheiten sind, bei denen man durch Therapie oder Medikamente durchaus beachtliche Linderungen erreichen kann. Um so wichtiger ist es, diese Probleme zu kennen damit der Lebensabend unbeschwert genossen werden kann.
Hier ein Röntgenbild von einer 14 Jährigen Katze. Gleich mehrere Probleme fallen ins Auge.
Orange Kreise: Wirbelsäulenveränderungen im Sinne von Spondylosen. Insbesondere eine L 7 Spondylose am Übergang zum Kreuzbein ist zu sehen. Das Tier ist also in jedem Fall ein chronischer Schmerzpatient. Man kann sich überlegen, ob Ihm Gabe von Schmerzmitteln hilft. Es gibt neben den chemisch definierten NSAIDs wie Metacam Katze auch pflanzliche Präparate wie FelineVet Dolofer plus. Nutzen und Nebenwirkungen sind immer individuell abzuwägen.
Grüner Kreis: Es gibt deutlliche Verschattungen im Bronchialbaum. Ursache können ein felines Asthma (wie in diesem Falle), Tumore, Lungenwürmer und chronische Atemwegsinfektionen sein. Herzerkrankungen müssen abgeklärt werden.
Gelbe Kreise und blauer Kreis : Verstopfung, Obstipation, Hartleibigkeit. Ein sehr häufiges Problem.
Die Ernährung einer alten Katze muss angepasst sein. Es darf kein Mangel an Faserstoffen, Omega3 FS und FOS bestehen. Es gibt etliche Futter, die die Darmfunktion wirkungvoll unterstützen. Ich empfehle in diesen Fällen die Fibre Diet von Royal Canin oder w/d Futter von Hills. Eine Gabe von Sahne, Milch oder Dosenmilch hat sich nicht bewährt, weil der Stuhl viel zu fettreich wird und sich kaum mehr absetzen lässt.

Colactiv
Es gibt aber einen neuen Futterzusatz von der Firma Almapharm. Dieser heisst Colaktiv.
Blauer Kreis: Es liegt nahe dass es sich zusätzlich noch um einen Haarballen handelt. In jedem Falle sollte die Katze ein Laxativ bekommen und/oder Paraffinöl um diesen direkt und gezielt abzuführen.
Als nächstes würde ich bei dieser Katze eine Blutuntersuchung durchführen. Die Labor bieten sogenanntes “Geriatrie-Profil” an, welches wichtige Dinge abklären kann. Hier mal ein Blutbild von der klinisch unauffälligen 16 Jahre alten Katze die sie schon von dem Röntgenbild kennen. Eine solche Untersuchung kostet ca 75 €.
Chronische Niereninsuffizienz (CNI):
Viele Katzen (ca 35% der Katzen !) bekommen im Alter Probleme mit den Nieren. Sie fangen an, mehr zu trinken das Fell wird struppig. Sie erbrechen sich häufig und fühlen sich nicht mehr wohl. Eine Blutuntersuchung zeigt leider erst Ergebnisse auf, wenn mindestens 70% der Nierenfunktion geschädigt sind, also extrem spät. Im Frühstadium kann die CNI der Katze recht erfolgreich mit Diät, Semintra, Infusionen und evtl homöopathischen Medikamenten wie SUC behandelt werden. Später sieht es nicht mehr sehr erfolgversprechend aus.
Frühstadium von CNI gibt es aber schon Befunde im Urin. Die Katzen sollten ihren Urin mindestens auf sG von 1035 konzentrieren können. Bleibt der Wert des spezifischen Gewichtes zwischen 1005, 1010 oder unter 1035, liegt eine ernsthafte Störung vor. Der Urin der Katzen kann leicht aufgefangen werden, wenn man das Streu durch kleine Polystyrolkügelchen ersetzt. Der Urin kann so problemlos zu Hause aufgefangen und in der Praxis mit einem Refraktrometer untersucht werden.
Einer neuer Ansatz der Blutuntersuchung ist die neue SDMA Untersuchung, mehr dazu in dem Video von Idexx. Der SDMA Test wird ab Dezember 2015 ein routinemässiger Bestandteil des Geriatrieprofils werden.
Die CNI der Katze ist immer mit einem Bluthochdruck vergesellschaftet. Der muss immer mit behandelt werden.
Bluthochdruck bei der Katze (Hypertensives Syndrom):

Bei dieser Katze sieht man dass beide Pupillen ungewöhnlich weit gestellt sind. Man spricht von Mydriasis – ein sicheres Zeichen für Netzhautablösungen aufgrund eines dauerhaft zu hohen Blutdrucks. Sie erblindet zusehends, wenn sie keine Untersuchung und Medikamente bekommt… ein Alarmzeichen !!
Quelle: http://www.augentierarzt.at/arzt/archiv1.htm
Blutdruckmessung bei der Katze. Messung per HDO Oszillometrie. Die Manschette kann an der Schwanzbasis der Katze festgemacht werden.
Das Tier wird
am besten bei der Untersuchung auf den Schoß gesetzt. Die Messung ist nach wenigen Minuten vorbei. Die HDO Messung misst nicht eine Wert für nur den systolischen und diastolischen Blutdruck, sondern auch alle einzelnen Pulswellen (bis zu 100 Messpunkte) so dass man eine ganze Kurve auswerten kann. So kann man die Pulsintensität und den Rhythmus der Pulse auch bewerten. Die HDO Messung geht somit weit über den bisherigen Standard hinaus.
HD2 HDO
Eine Katze sollte nicht dauerhaft über 165 mm Hg Druck haben, sonst kommt es zu Schädigungen. Bluthochdruck bei der Katze entsteht bei Herzerkrankungen, als Nierenhochdruck und im Zusammenhang mit der Schilddrüsenüberfunktion. In allen drei Fällen entsteht ein Teufelskreis, der sich ständig verschlimmert. Man kann dem Blutdruck entgegenwirken durch Behandlung der Grundkrankheit und durch Medikamente. Die leichten Fälle sprechen auf ACE Hemmer wie Benacecare 5 mg an, bei schwereren Formen gibt es nun Amlodipin für Tiere als Amodip 1.25 als Kautablette auf dem Markt.
HCM
Ein neuerer Biomarker für Katzen etabliert sich mittlerweile auf dem Markt. es handelt sich um das Cardiopet proBnP, oder Troponin. Mittlerweile kann man es einfach aus dem Serum mitbestimmen lassen ohne dass man es, wie bisher notwendig, in Spezialröhrchen umfüllen muss. Das Erkennen von Herzkrankheiten ist bei der Katze ist manchmal eine sehr komplizierte Angelegenheit. Erste Hinweise kann ein Herzgeräusch (SAM) sein, welches aber auch völlig harmlos sein kann. Hier könnte Cardiopet proBnP helfen. Diese ist allerdings eine kostenpflichtige Zusatzuntersuchung , (ca 25 €Mehrkosten) zum normalen Profil und muss auch noch weiter durch Herzultraschall (wieder ca 90€) abgeklärt werden.
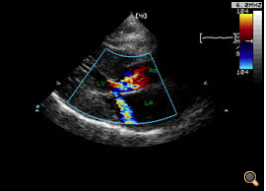
Im Ultraschallbild rechts sieht man stark verdickte Herzwände. Man kann ein Herzgeräusch im Doppler erkennen. Es besteht die akute Gefahr einer Thrombembolie. Leider ist es kaum möglich die HCM im Vorfeld durch Röntgen festzustellen. HCM findet man hauptsächlich bei Maine Coon und Ragdollkatzen. Die Krankheit wird durch autosomal rezessive Gene vererbt.
In wie weit diese Untersuchungen in ein Vorsorgeprofil passen, ist im Einzelfall abzuklären, je mehr Aufwand betrieben wird, desto teurer wird die Angelegenheit. Ich denke, es genügt wenn man diese Untersuchungen erst dann durchführt wenn auch Symptome wie Atemnot, Hecheln, Abmagerung auftreten, oder wenn die Rassenzugehörigkeit der Katze es nahe legt.
Ein jahrelang unterschätztes Phänomen ist die Hyperthyreose der Katze. Erst seit der Routineuntersuchung findet man bei sehr vielen Katzen die Krankheit. Gut, denn sie ist recht einfach zu behandeln. Im Blut sind die T4 Werte deutlich erhöht. Die Tiere sind abgemagert, aggressiv und übellaunig haben meist chronischen Durchfall und trinken deutlich mehr. Über den viel zu hohen Blutdruck schliesst sich wiederum der Teufelskreis Herz-Niere-Auge etc. Gibt man den Tieren einmal täglich Felimazole Tabletten, ändert sich das wieder dramatisch, alles läuft wieder normal, sehr zur Zufriedenheit von Tier, Besitzer und Tierarzt. Die Krankheit wird durch die Klinik und die veränderten Werte im Profil diagnostiziert. Manchmal lässt sich durch Abtasten die vergrößerte Schilssrüse nachweisen.
Weiter
Die Ernährung einer alten Katze muss angepasst sein. Es darf kein Mangel an Faserstoffen, Omega3 FS und FOS bestehen. Es gibt etliche Futter, die die Darmfunktion wirkungvoll unterstützen. Ich empfehle in diesen Fällen die Fibre Diet von Royal Canin oder w/d Futter von Hills. In der letzten Zeit behandele ich diese Tiere gerne mit Reconvales Tonicum dem ich Macrogol zugefügt habe.
Bei Macrogol handelt es sich um Polyethylenglycol (PEG Pulver), das bei der Katze mild abführt. Alternativ kann man auch Flohsamen z.B Entero Pro Kapseln von Albrecht geben. Eine Gabe von Sahne, Milch oder Dosenmilch hat sich nicht bewährt, weil der Stuhl viel zu fettreich wird und sich kaum mehr absetzen lässt.
Blauer Kreis: Es liegt nahe dass es sich zusätzlich noch um einen Haarballen handelt. In jedem Falle sollte die Katze ein Laxativ bekommen und/oder Paraffinöl um diesen direkt und gezielt abzuführen.
Als nächstes würde ich bei dieser Katze eine Blutuntersuchung durchführen. Die Labor bieten sogenanntes „Geriatrie-Profil“ an, welches wichtige Dinge abklären kann. Hier mal ein Blutbild von der klinisch unauffälligen 16 Jahre alten Katze die sie schon von dem Röntgenbild kennen. Eine solche Untersuchung kostet ca 75 €.