Röntgen in der Kleintierpraxis
Die Röntgendiagnostik ist nach wie vor eins der wichtigsten diagnostischen Pfeiler in der modernen Kleintierpraxis. Es vergeht kein Tag, an dem nicht etliche Aufnahmen von Tieren angefertigt werden.
Daher ist die Qualität der Bilder von entscheidender Bedeutung. Gleichzeitig müssen die Bestimmungen des Strahlenschutzes eingehalten werden, um schädliche Belastungen von Patient und Menschen fernzuhalten.
Durch die neue Strahlenschutzverordnung ist es beispielweise festgelegt, dass der Besitzer nicht, oder nur unter detaillierten Voraussetzungen beim Röntgen dabei sein darf.
Unser Siemens Heliophos Röntgengerät wird alle 5 Jahre vom TÜV überprüft um die technische Funktion zu garantieren. Es hat eine sehr hohe Leistung von 50 KW und bis zu 120 KV dadurch kann man auch noch sehr grosse Tiere bei akzeptablen Belichtungszeiten röntgen. Mittlerweile haben wir eine digitale Entwicklung. Das hat die Qualität der Aufnahmen nochmals um ein Vielfaches erhöht. Auf Wunsch können wir eine CD mit den Aufnahmen anfertigen und dem Besitzer mitgeben
Die Qualität der Fotos spricht für sich, urteilen Sie selbst.
Schädel Kaninchen Überprüfung der Zahnwurzeln
Magendrehung bei einem Dobermann
Aufgasung und Einziehung des Milz-Magenbandes
Angelhaken bei einer Rotwangenschildkröte aus dem Main
Chamäleon mit Legenot
Königspython mit inneren Organen
Metastasen (Mamma) eines Tumors in der Lunge eines Hundes.
Eitrige Enzündung des Kniegelenkes
Instabilität der Halswirbelsäule bei einem Dobermann
(Wobbler-Syndrom)
Myelographie des Rückenmarkkanals Hund hatte eine entzündliche Erkrankung
des Rückenmarks und keinen Vorfall der Bandscheibe wie erst vermutet
Die Kontrastmittelsäule fliesst ungehindert bis zum Schwanzwirbel
Aufnahme einer Blaustirnamazone mit Bleivergiftung.
Man kann schön die abgelagerten Bleispäne (weisse Punkte) im Muskelmagen erkennen


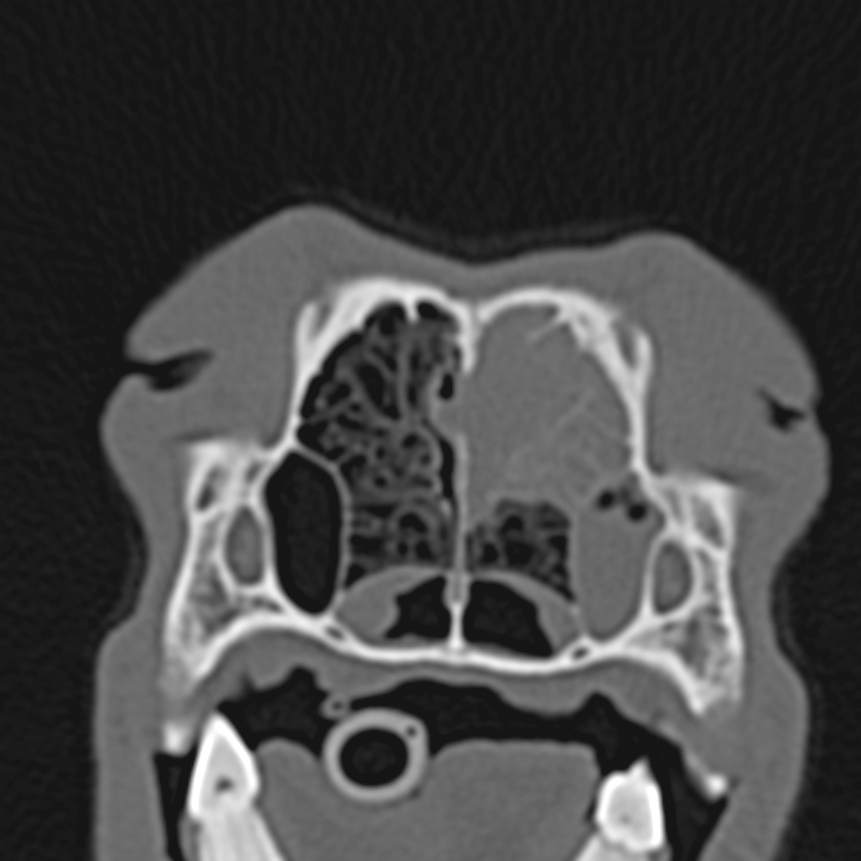
Das ist kein Röntgen,.sondern ein CT Bild. Man sieht das Innere der Nase eines Hundes. Dieses arme Tier hat die Hälfte seiner Nase voll mit Tumormassen, Die Nasenscheidenwand ist nun auch schon kaputt. Wenn wir solche Aufnahmen wirklich mal brauchen ist es auch kein Problem mal einen Fall an eine ausgestattete Kollegin im Umkreis zu überweisen und zusammen zu urteilen.