Sonografie (Ultraschall) in der Kleintierpraxis.
Die Ultraschalluntersuchung als Bildgebendes Verfahren stellt ein wichtiges Hilfmittel in der Kleintiersprechstunde dar. Sie ergänzt die Röntgenuntersuchung und ermöglicht so eine Reihe von Diagnosen.
Wenn Röntgen Vorteile bei der Beurteilung von Knochen und gasgefüllten Hohlräumen bietet, sind die Weichteile und flüssigkeitsgefüllte Hohlräume die Domäne
der Sonografie. Mit ihr kann man nämlich mit dem Ultraschallgerät in das Innere von Organen hineinschauen.
Röntgen des Herzen beispielweise lässt die Silhouette des Herzens und die Beschaffenheit der Lunge gut erkennen, Ultraschall das Innere des Herzens, die Herzklappen, die Dicke der Muskulatur und die Beweglichkeit des Herzmuskels. So ergänzen sich die Verfahren Röntgen- Ultraschall ‑Endoskopie in hervorragender Weise miteinander.

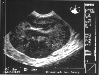
Hier kann man eine Katzenniere erkennen. Die Niere konnte mit einer Länge von 5.9 cm als zu groß angesprochen werden.
In der Nierenrinde befindet sich ein 19x24 mm großer Tumor (siehe Kreuze). Das Nierenbecken ist soweit noch o.B.
Die Blutwerte ließen keine Störung der Nierenleistung erkennen. Auf dem Röntgen ließ sich die Niere nur als „vergrößert“ ansprechen.
Das ist ein Bild mit dem neuen Gerät mit einem PW Doppler. Die Sonde liegt auf dem Herzen eines Hundewelpen.
Der Herzschlag des Welpen ist über Lautsprecher zu hören und auch grafisch dargestellt (die Zacken auf der unteren Linie). So kann man bei einer Geburt beurteilen, ob es dem Welpen in der Mutter gut geht.
Ein weitere Standarduntersuchung ist der Nachweis der Trächtigkeit. Sie ist beim Hund etwa vom 21.Tag möglich.
In diesem Stadium sieht man die Foeten als „Fruchtampullen“ und kann recht gut ihre Zahl bestimmen. In einem späteren Stadium, kann man lebenswichtige
Organe wie Herz, Leber und Magen der Foeten sehen. Herzschlag und Fruchtbewegungen lassen sich schön zeigen.
Der stolze Besitzer der werdenden Mutter freut sich über ein erstes Bild ein „Sofortprint“ der kleinen Welpen
Röntgenuntersuchungen wären hier schädlich für die Welpen und ohnehin erst ab dem 55.Tag der Trächtigkeit möglich.
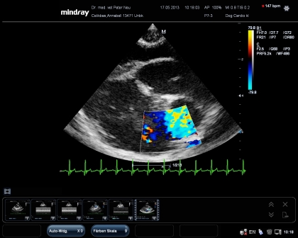
Eine besondere Herausforderung ist der Herzultraschall. Diese Untersuchung ist nur mit besonders leistungsfähigen Geräten mit speziellen Sonden möglich.

Hier ein Bild mit Farbdoppler. Es zeigt einen Schnitt durch die Herzbasis und dokumentiert Veränderungen an der Pulmonalklappe. So können dynamische Veränderungen im Herzen sichtbar gemacht werden. Gleichzeitig gibt es eine EKG Ableitung-
Neben der Trächtigkeit sind pathologische Veränderungen an der Gebärmutter abzugrenzen. Hier in diesem Beispiel handelt es sich um eine Gebärmuttervereiterung, eine „Pyometra“ die man als eitergefüllte Hohlräume auf dem Bild schön erkennen kann. Nach Stellung der Diagnose konnte der kleine Foxterrier schnell operiert werden und erfreut sich wieder bester Gesundheit.


Sonografisches Bild der Gebärmutterschleimhaut bei der Glandulär Zystischen Endometritis
(GZE)

Hier das Bild einer gefüllten Harnblase eines Katers mit „Felinem urologischen Syndrom, FUS“. Man kann die winzigen Harngrieskristalle an dem „Schneegestöber“ in der sonst fast gänzlich schwarzen Harnblase erkennen. Am vorderen Blasenpol befindet sich eine ausgedehntes Hämatom.
Neben der reinen Bildgebung ist der Ultraschall eine wichtige Hilfe bei der Entnahme von Gewebsproben, z.B. Leber, Harnproben direkt aus der Blase und bei der geführten Tumorbiopsie. Mit ihm gelingt es die Proben zielgenau und sicher zu gewinnen.