Mein Haustier hat Ohrenprobleme — Reichen da Tropfen aus ???
Ohrenentzündungen gelten bei Hund und Katze zu den häufigsten Erkrankungen.
Katze:
Bei jungen Katzen stehen immer Erkrankungen durch Ohrmilben im Vordergrund. Die Milben werden durch Ansteckung von Katze zu Katze getragen, meist findet man sie zusammen mit Flöhen und Würmern bei den “Bauernhofkatzen”.
Ohrmilben sind einfach zu behandeln mit Ohrpräparaten, die einen milbenabtötenden Wirkstoff enthalten. Es gibt auch milbenwirksame Spot-On Präparate für den Nacken wie Advocate 40/80 oder jetzt Stronghold Plus mit einer ausgezeichneten Wirkung auch gegen Flöhe, Zecken und Milben.
Es müssen allerdings vorher immer die schwarzen Krusten aus den Ohr gelöst werden, was für die Katzen sehr unangenehm ist. Am besten weicht man die Krusten mit einem öligen Ohrpflegemittel ein und löst sie über mehrere Tage verteilt aus dem Ohr. Am Ende kann manchmal ein Pfropf vor dem Trommelfell Ärger machen, den man manchmal sogar unter Narkose mit einer Fremdkörperzange oder ‑schlinge entfernen muss. Unbehandelt führen diese Milben allerdings zu weitreichenden Entzündungen.
Bei chronischen, eitrigen Formen der Ohrenentzündung sind es bei der Katze meist Polypen, die aus dem Mittelohr oder aus der Eustachischen Röhre entspringen. Diese entstehen meist im Zusammenhang mit dem Katzenschnupfenkomplex und führen dann im Ohr dann zu einer schwer behandelbaren eitrigen, und widerlich stinkenden! Entzündung. Sie kommen meist einseitig vor. Eine Behandlung dieser Form der eitrigen Ohrenentzündung ist sinnlos, wenn man nicht die Polypen entfernt. Oft kann man sie mit einer Zange fassen und wie einen Pilz aus dem Mittelohr drehen, machmal ist aber eine sehr aufwändige Eröffnung des Mittelohres und dessen Ausschabung (Kürettage) notwendig. Eine Behandlung nur mit Ohrentropfen ist bei diesen Formen sinnlos. Der widerliche Geruch kommt von sogennaten Pseudomonas-Bakterien, diese sind oft gegen viele Antibiotika resistent, also wirkungslos
Ist das Mittelohr betroffen, spricht man von einer Otitis media. Sie entsteht im Zusammenhang mit Schnupfen oder Halsentzündungen. Bei der Otitis media kommen Störungen im Gleichgewichtssinn und eine Kopfschiefhaltung vor, manchmal hat es auch ungleiche Pupillen oder ein sogenanntes Horner Syndrom. Um eine Otits media zu erkennen, muss man das Trommelfell anschauen, manchmal röntgen, manchmal erkennt man das erst im CT was genau los ist. Aber die klinischen Erscheinungen sprechen in der Regel für sich. Bei der O.media kann man in der Regel recht gut mit verschiedenen Antibiotika behandeln, manchmal ist aber auch ein operatives Vorgehen notwendig. In solch einem Fall muss das Mittelohr eröffnet und drainiert werden. Hier ist der Fall einer 4 jährigen Maine Coon Katze “Chester”
Nachtrag: Chester haben wir zwischenzeitlich operiert. Das Ohr wurde an der Muschel verschlossen und seitlich eine neuer Seitenausgang des Gehörganges in die obere Wange verlegt. Bei dieser Operation konnte ein Polyp entfernt werden, der über das Mittelohr bis in die Eustachische Röhre sich ausdehnte und letztendlich der Grund für die Erkrankung war. Alles ist supergut verheilt und das Ohr ist endlich trocken. Durch die erhaltene Verbindung nach aussen bleiben die Hörfunktionen praktisch erhalten, die Kopfschiefhaltung ist verschwunden.
Hund:
Die
einfache Otitis externa wird durch Hefepilze oder auch Bakterien verursacht. Es gibt zur Behandlung eine Vielzahl von Ohrentropfen, die allesamt recht gut sind, aber nur dann, wenn sie tief genug ins Ohr verbracht werden. Dazu reicht die Länge der mitgelieferten Plastiktüllen aber meist nicht aus, oder die Hunde wehren sich zu sehr. Am besten lässt man die Behandlung der Ohren nicht zu Hause sondern vom Tierarzt machen, auch wenn dazu viele Besuche notwendig sind. Der Besitzer traut sich einfach nicht, das Medikament tief genug ins Ohr zu verbringen.
Medikamente: Posatex, Surolan, Easotic, Aurizon uvm. Sie alle enthalten Kombination aus Cortison, Antibiotika und Antimykotika.
Aber Achtung ! So einfach ist aber doch nicht, auch wenn uns die Industrie das so suggeriert. Nur Ohrentropfen geben ist einfach , führt aber auch regelmässig zu katastrophalen Zuständen.
Dem tragen die neuen Antibiotika-Leitlinien Rechnung: Antibitioka wie Gyrasehemmer und auch die Cephalosporine der 4. Generation dürfen nur noch in Begleitung einer bakteriologischen Untersuchung mit Antibiogramm angewendet werden. Und das ist auch gut so und trägt zum verantwortlichen Umgang mit Antibiotika bei.
Wenn diese Ohrenentzündungen sehr häufig immer wieder. also rezidivierend bei einem Hund vorkommen, handelt es sich meist um sekundär auftretende Otitiden. Wenn man das nicht beachtet und eine zugrunde liegende Allergie, Futterunvertäglichkeit oder Schilddrüsenunterfunktion nicht erkennt, erleidet man unwillkürlich Schiffbruch.
Die Entzündung wird chronisch. In diesen Fällen verändert sich zunehmend die Schleimhautauskleidung des Innenteils der Ohrmuschel. Das Epithel bekommt immer mehr Drüsen, verdickt, es kommt zu Verknöcherungen des Gehörganges und die Entzündung, ob eitrig oder pilzbedingt ist nicht mehr zu kontrollieren, auch nicht mit dem größten Aufwand.
Meist werden die Hunde völlig panisch, wenn man nur in die Nähe der Ohren kommt. Eine Behandlung ist nur noch unter größten Schwierigkeiten möglich. Im Endstadium entstehen blumenkohlartige Wucherungen (O.ext.verrucosa) die das ganze Ohr verlegen.
Es gibt zwei OP- Methoden die klassischerweise an dieser Stelle angewendet werden, die nach Hinz und die nach Zepp. Bei beiden wird ein Teil des vertikalen Gehörganges entfernt.
Die verbleibenden Reste, sind aber in der Regel nach wie vor noch verändert und machen weiterhin Probleme, so dass diese Operation auf Dauer kaum Vorteile bringt.
Ich führe diese OP wegen der ständigen Frustrationen und Misserfolge schon seit Jahren nicht mehr durch.
Statt dessen rät man heute zur kompletten Entfernung des Gehörganges mit allen Wucherungen, der sogenannten “Ablation des Gehörganges”.
Entweder schafft man es noch das Trommelfell zu erhalten und den horizontal verlaufenden Teil des Gehörganges durch einen Tunnel an die Haut nach aussen zu nähen,
was die Hörfähigkeit erhalten bzw wieder herstellen würde,
oder man entfernt alles einschließlich des Trommelfells und sogar von Teilen des Mittelohres.
Wenn man bisher annahm, dass damit der Hund völlig nach der Operation völlig taub ist, irrt man sich, es scheint dass Schwingungen durch die Haut über die Kopfknochen noch ein, wenn auch sehr geringes, Hörvermögen erhalten.
So radikal diese Operation- Ablation des äußeren Gehörganges- ist es ist manchmal die einzige noch mögliche Methode eine deratig chronische Ohrenentzündung beim Hund zu behandeln.
In den letzten Monaten habe ich eine Systematik entwickelt, mit der ich an die Fälle herangehe. Ich habe zu oft erleben müssen, welche Frustrationen und Schmerzen durch nicht sachgemässe Behandlung von Ohrenentzündungen entstehen können. Leider summieren sich natürlich die Kosten, wenn man umgreifend untersucht, aber man kommt doch den Ursachen näher und letztendlich spart es Geld.
Natürlich muss erst mal der Besitzer genau über das Tier befragt werden. Kommt das Tier aus dem Ausland, leidet es unter Juckreiz, leckt es sich die Pfoten, ist es oft müde und schlapp, kältempfindlich. Solche Umstände können schon mal auf eine Leishmaniose, eine
Allergie oder eine Schilddrüsenunterfunktion hinwiesen.Man sollte auch immer an eine mögliche Infektion mit Räude(Sarkoptes)milben in Erwägung ziehen.
Eine Untersuchung des Gehörganges mit einer Optik gibt dann erste Hinweise. Man kann Fremdkörper sehen oder ausschliessen und natürlich den Zustand des Trommelfells bewerten.
Hier kann man zwei verschiedene Gründe für das Fortbestehen einer Gehörgangsuntersuchung vermuten. Links ist der IgE Nachweis für Milben und Schimmelpilze positiv. Es könnte sich also um einen Hund mit Atopie(Neurodermitis/Allergie) handeln. Bei dem Patienten rechts sind die Schilddrüsenwerte sehr niedrig. Wenn auch das TSH nicht erhöht ist, was für eine echtes Schilddrüsenproblem sprechen würde, sollte man das Krankheitsbild der “subklinischen Hypothyreose” in Erwägung ziehen. Beide Patienten müssen sehr genau in diese Richtungen untersucht werden um die Verdachtsmomente zu bestätigen bzw auszuschliessen. Man kann auch eine diagnostische Behandlung durchführen um sich der Sache zu vergewissern.
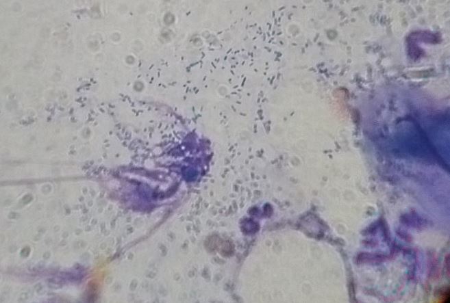
Eine ganz wichtige Untersuchung ist die Zytologie. Man rollt einen Wattetupfer auf einem Objektträger aus und färbt ihn an. Nun kann man erkennen, ob im Ohr ein Pilzproblem oder ein Befall mit Stäbchenbakterien oder Kokken vorliegt. Hat man den Überblick nimmt man einen zweiten Tupfer für die bakterilogische Untersuchung. Da diese Untersuchung ein paar Tage dauert kann man sich nun einer ausgiebigen Reinigung des Gehörganges widmen.
Sehr bewährt hat sich das Produkt “Zerulytic” für die Ohrreinigung. Es löst schön den Schmalz auf und schmiert auch nicht so wie andere Produkte. Es gibt auch keine Reizungen des Mittelohrs, auch dann nicht, wenn das Trommelfell nicht mehr in Ordnung ist.
Nun heisst es bis zum Eintreffen der Bakteriologischen Untersuchung “gründlich reinigen” am besten kontrolliert beim Tierarzt.
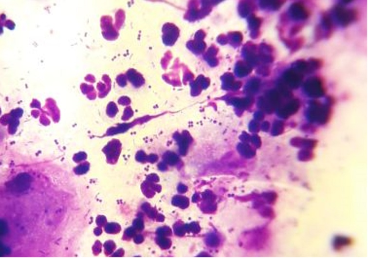
In nebenstehendem Befund kann man einen Problemkeim erkennen. Es ist Pseudomonas aeruginosa mit einer Multiresistenz. Nur noch wenige Antibiotika sind wirksam. Imipenem, Meropenem, Amikain und Tobramycin sind “Panzerschrankantibiotika” aus der Humanmedizin, die wir bei Tieren im Angesicht der MRSA-Infektionen des Menschen keinesfalls einsetzen dürfen. in jedem Fall müssen wir eine neue Strategie gegen den Keim entwickeln. In neuerer Zeit nimmt der begriff “Biofilm” gerade in der Kombination Ohrentzündung und Pseudomonas eine zunehmende Bedeutung ein. Nimmt man diesem Biofilm im Ohr seine Grundlage, kann man auch Erfolg trotz Multiresistenz haben
Otiprin: Chloramphenicol, Dexa, DMSO, Benzoylbenzoat.
Aurizon: Marbofloxacin, Dexa, Clotriamzol.
Surolan: Polymixin B, Miconazol, Prednisolon
Easotic: Gentamycin, Hydrocortison, Miconazol.
Otomax: Gentamycin, Betamethason, Clotrimazol
Oribiotic: Neomycin, Nystatin, Triamcinolon.
Posatex: Orbifloxacin, Mometason, Posaconazol
Osurnia: Terbinafinum, Florfenicol, Betamethasonacetat
Stellt sich bei der Blutuntersuchung heraus, dass IgE Antikörper im Screening vorhanden sind, ist eine Allergie als Ursache für die immer wiederkommenden Ohrentzündungen sehr wahrscheinlich. Der Hund leidet dann an einer sogenannten Atopie, die der menschlichen Neurodermitis sehr ähnlich ist. Das muss sicher erkannt werden. Ich persönlich setze dann ein kurz wirksames Cortisonpräparat ein um die Diagnose abzusichern und das Ohr erst mal abzuschwellen. Ziel ist es aber unbedingt, von diesem Cortison möglichst schnell wieder loszukommen, auch wenn es am Anfang fantastisch wirkt.
Weiter geht es hier







